Nanotechnology Now

Our NanoNews Digest Sponsors
Heifer International



Home > Press > Nanoparticle vaccinates mice against dengue fever

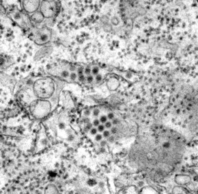
This transmission electron micrograph (TEM) depicts a number of round, Dengue virus particles that were revealed in this tissue specimen.
CREDIT
CDC/ Frederick Murphy
This transmission electron micrograph (TEM) depicts a number of round, Dengue virus particles that were revealed in this tissue specimen. CREDIT CDC/ Frederick Murphy

Abstract:
Every year, more than 350 million people in over 120 countries contact dengue fever, which can cause symptoms ranging from achy muscles and a skin rash to life-threatening hemorrhagic fever. Researchers have struggled to create effective vaccines against dengue virus, in part because four distinct serotypes, or strains, cause the disease and a vaccine must immunize against all four individually. Now, a new type of nanoparticle, described in PLOS Neglected Tropical Diseases, effectively vaccinated mice against one of the serotypes and could be created to target all four.

Nanoparticle vaccinates mice against dengue fever

San Francisco, CA | Posted on October 21st, 2016

Attempts at using live dengue viruses to develop a dengue fever vaccine have often led to an imbalance in immunity to the four dengue serotypes--for instance, one recent candidate had lower efficacy against serotype 2. Previous infection with one serotype of dengue, or protection against just one serotype, can lead to more severe disease if a person contracts other serotypes, so it's vital that vaccines are available that specifically target all four strains.

To create a new dengue virus vaccine, Stefan Metz, Shaomin Tian in the laboratories of Aravinda de Silva, Chris Luft and Joe DeSimone at the University of Carolina, Chapel Hill, USA designed nanoparticles of various shapes and sizes using Particle Replication in Non-wetting Template (PRINT) technology. Each nanoparticle was studded with copies of DENV2-E protein, a key protein from serotype 2 of the virus. Then, the researchers immunized 31 mice with a control injection or one of five different formulations of the nanoparticle, each with different size particles ranging from 55x70 nanometers to 200x200 nanometers. During the course of the immunizations, as well as four times after two boosters had been given, the researchers drew blood from the mice to follow their immune responses. Bone marrow and lymph node samples were also taken at various points after immunization.

After immunization with the DENV2-E nanoparticles, mice had a specific antibody response to serotype 2 of the dengue virus, but not the other three serotypes. Compared to mice vaccinated with only the soluble DENV2-E proteins, the nanoparticle formulations led to a stronger immune response. Although previous studies of similar nanoparticles have found an effect of nanoparticle shape and size on antibody responses, such a trend was not seen at significant levels for the DENV2-E vaccine. Future studies will be required to test whether the antibody levels prevent dengue infection as well as whether similar nanoparticles can be develop for all dengue serotypes.

"Though only focusing on DENV2, these findings form the basis of a safe and efficacious dengue virus candidate," the authors say. "In addition, this platform can be used to develop safe vaccine candidates for other flaviviruses such as Zika virus, where pregnant women are the target group for vaccination."

Funding: This study was funded by US National Institutes of Health grant U19 AI109784-01. The funders had no role in study design, data collection and analysis, decision to publish, or preparation of the manuscript.

Competing Interests: MS and KH hare employed by the commercial company Liquidia Technologies. JD is a founder and maintains a financial interest in Liquidia Technologies.

####

For more information, please click here

Contacts:
PLOS Neglected Tropical Diseases

Copyright © PLOS

If you have a comment, please Contact us.

Issuers of news releases, not 7th Wave, Inc. or Nanotechnology Now, are solely responsible for the accuracy of the content.

Bookmark:
Delicious Digg Newsvine Google Yahoo Reddit Magnoliacom Furl Facebook

Related Links

RELATED JOURNAL ARTICLE:

Related News Press

News and information

Decoding hydrogen‑bond network of electrolyte for cryogenic durable aqueous zinc‑ion batteries January 30th, 2026

COF scaffold membrane with gate‑lane nanostructure for efficient Li+/Mg2+ separation January 30th, 2026

Breathing new life into nanotubes for a cooler planet:Researchers at Skoltech discover a simple, single-step heat treatment that nearly doubles the CO2-trapping power of carbon nanotubes January 30th, 2026

New light-based nanotechnology could enable more precise, less harmful cancer treatment: The approach offers a potential alternative to chemotherapy and radiation by using light and heat to target cancer cells. January 30th, 2026

Govt.-Legislation/Regulation/Funding/Policy

Metasurfaces smooth light to boost magnetic sensing precision January 30th, 2026

New imaging approach transforms study of bacterial biofilms August 8th, 2025

INRS and ELI deepen strategic partnership to train the next generation in laser science:PhD students will benefit from international mobility and privileged access to cutting-edge infrastructure June 6th, 2025

Electrifying results shed light on graphene foam as a potential material for lab grown cartilage June 6th, 2025

Possible Futures

Decoding hydrogen‑bond network of electrolyte for cryogenic durable aqueous zinc‑ion batteries January 30th, 2026

COF scaffold membrane with gate‑lane nanostructure for efficient Li+/Mg2+ separation January 30th, 2026

Breathing new life into nanotubes for a cooler planet:Researchers at Skoltech discover a simple, single-step heat treatment that nearly doubles the CO2-trapping power of carbon nanotubes January 30th, 2026

New light-based nanotechnology could enable more precise, less harmful cancer treatment: The approach offers a potential alternative to chemotherapy and radiation by using light and heat to target cancer cells. January 30th, 2026

Nanomedicine

New molecular technology targets tumors and simultaneously silences two ‘undruggable’ cancer genes August 8th, 2025

New imaging approach transforms study of bacterial biofilms August 8th, 2025

Cambridge chemists discover simple way to build bigger molecules – one carbon at a time June 6th, 2025

Electrifying results shed light on graphene foam as a potential material for lab grown cartilage June 6th, 2025

Discoveries

From sensors to smart systems: the rise of AI-driven photonic noses January 30th, 2026

Decoding hydrogen‑bond network of electrolyte for cryogenic durable aqueous zinc‑ion batteries January 30th, 2026

COF scaffold membrane with gate‑lane nanostructure for efficient Li+/Mg2+ separation January 30th, 2026

Breathing new life into nanotubes for a cooler planet:Researchers at Skoltech discover a simple, single-step heat treatment that nearly doubles the CO2-trapping power of carbon nanotubes January 30th, 2026

Announcements

Decoding hydrogen‑bond network of electrolyte for cryogenic durable aqueous zinc‑ion batteries January 30th, 2026

COF scaffold membrane with gate‑lane nanostructure for efficient Li+/Mg2+ separation January 30th, 2026

Breathing new life into nanotubes for a cooler planet:Researchers at Skoltech discover a simple, single-step heat treatment that nearly doubles the CO2-trapping power of carbon nanotubes January 30th, 2026

New light-based nanotechnology could enable more precise, less harmful cancer treatment: The approach offers a potential alternative to chemotherapy and radiation by using light and heat to target cancer cells. January 30th, 2026

Interviews/Book Reviews/Essays/Reports/Podcasts/Journals/White papers/Posters

Metasurfaces smooth light to boost magnetic sensing precision January 30th, 2026

COF scaffold membrane with gate‑lane nanostructure for efficient Li+/Mg2+ separation January 30th, 2026

Breathing new life into nanotubes for a cooler planet:Researchers at Skoltech discover a simple, single-step heat treatment that nearly doubles the CO2-trapping power of carbon nanotubes January 30th, 2026

New light-based nanotechnology could enable more precise, less harmful cancer treatment: The approach offers a potential alternative to chemotherapy and radiation by using light and heat to target cancer cells. January 30th, 2026

Nanobiotechnology

New molecular technology targets tumors and simultaneously silences two ‘undruggable’ cancer genes August 8th, 2025

New imaging approach transforms study of bacterial biofilms August 8th, 2025

Ben-Gurion University of the Negev researchers several steps closer to harnessing patient's own T-cells to fight off cancer June 6th, 2025

Electrifying results shed light on graphene foam as a potential material for lab grown cartilage June 6th, 2025

NanoNews-Digest
The latest news from around the world, FREE




  Premium Products
NanoNews-Custom
Only the news you want to read!
 Learn More
NanoStrategies
Full-service, expert consulting
 Learn More











ASP
Nanotechnology Now Featured Books




NNN

The Hunger Project