Nanotechnology Now

Our NanoNews Digest Sponsors
Heifer International



Home > Press > Nano power grids between bacteria: Microorganisms in the sea organize their power supply via tiny power-cables, thus oxidising the greenhouse gas methane

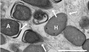
Electron micrograph of the nanowires shows connecting archaea and sulphate reducing bacteria. The wires stretch out for several micrometres, longer than a single cell. The white bar represents the length of one micrometre. The arrows indicate the nanowires (A=ANME-Archaeen, H=HotSeep-1 partner bacteria).
CREDIT: MPI f. Biophysical Chemistry
Electron micrograph of the nanowires shows connecting archaea and sulphate reducing bacteria. The wires stretch out for several micrometres, longer than a single cell. The white bar represents the length of one micrometre. The arrows indicate the nanowires (A=ANME-Archaeen, H=HotSeep-1 partner bacteria).

CREDIT: MPI f. Biophysical Chemistry

Abstract:
Electrical energy from the socket - this convenient type of power supply is apparently used by some microorganisms. Cells can meet their energy needs in the form of electricity through nano-wire connections. Researchers from the Max Planck Institute for Marine Microbiology in Bremen have discovered these possibly smallest power grids in the world when examining cell aggregates of methane degrading microorganisms. They consist of two completely different cell types, which can only jointly degrade methane. Scientists have discovered wire-like connections between the cells, which are relevant in energy exchanges.

Nano power grids between bacteria: Microorganisms in the sea organize their power supply via tiny power-cables, thus oxidising the greenhouse gas methane

Muenchen, Germany | Posted on October 22nd, 2015

It was a spectacular scientific finding when researchers discovered electrical wiring between microorganisms using iron as energy source in 2010. Immediately the question came up if electric power exchange is common in other microbially mediated reactions. One of the processes in question was the anaerobic oxidation of methane (AOM) that is responsible for the degradation of the greenhouse gas methane in the seafloor, and therefore has a great relevance for Earth climate. The microorganisms involved have been described for the first time in 2000 by researchers from Bremen and since then have been extensively studied.

The greenhouse gas methane in the seabed

In the ocean, methane is produced from the decay of dead biomass in subsurface sediments. The methane rises upwards to the seafloor, but before reaching the water column it is degraded by special consortia of archaea and bacteria. The archaea take up methane and oxidise it to carbonate. They pass on energy to their partner bacteria, so that the reaction can proceed. The bacteria respire sulphate instead of oxygen to gain energy (sulphate reducers). This may be an ancient metabolism, already relevant billions of years ago when the Earth's atmosphere was oxygen-free. Yet today it remains unknown how the anaerobic oxidation of methane works biochemically.

Gunter Wegener, who authors the publication together with PhD student Viola Krukenberg, says: "We focused on thermophilic AOM consortia living at 60 degrees Celsius. For the first time we were able to isolate the partner bacteria to grow them alone. Then we systematically compared the physiology of the isolate with that of the AOM culture. We wanted to know which substances can serve as an energy carrier between the archaea and sulphate reducers." Most compounds were ruled out quickly. At first, hydrogen was considered as energy source. However, the archaea did not produce sufficient hydrogen to explain the growth of sulphate reducers - hence the researchers had to change their strategy.

Direct power wires and electron transporters

One possible alternative was to look for direct connections channelling electrons between the cells. Using electron microscopy on the thermophilic AOM cultures this idea was confirmed. Dietmar Riedel, head of electron microscopy facilities at the Max Planck Institute in Goettingen says: "It was really challenging to visualize the cable-like structures. We embedded aggregates under high pressure using different embedding media. Ultrathin sections of these aggregates were then examined in near-native state using transmission electron microscopy."

Viola Krukenberg adds: "We found all genes necessary for biosynthesis of the cellular connections called pili. Only when methane is added as energy source these genes are activated and pili are formed between bacteria and archaea."

With length of several micrometres the wires can exceed the length of the cells by far, but their diameter is only a few nanometres. These wires provide the contact between the closely spaced cells and explain the spatial structure of the consortium, as was shown by a team of researchers led by Victoria Orphan from Caltech.

"Consortia of archaea and bacteria are abundant in nature. Our next step is to see whether other types also show such nanowire-like connections. It is important to understand how methane-degrading microbial consortia work, as they provide important functions in nature", explains Antje Boetius, leader of the research group at the Institute in Bremen.

###

Original paper:

Intercellular wiring enables electron transfer between methanotrophic archaea and bacteria. Gunter Wegener, Viola Krukenberg, Dietmar Riedel, Halina E. Tegetmeyer and Antje Boetius. Nature, 2015 doi:10.1038/nature15733

####

For more information, please click here

Contacts:
Dr. Gunter Wegener

49-421-202-8867

Copyright © Max Planck Gesellschaft

If you have a comment, please Contact us.

Issuers of news releases, not 7th Wave, Inc. or Nanotechnology Now, are solely responsible for the accuracy of the content.

Bookmark:
Delicious Digg Newsvine Google Yahoo Reddit Magnoliacom Furl Facebook

Related News Press

News and information

Decoding hydrogen‑bond network of electrolyte for cryogenic durable aqueous zinc‑ion batteries January 30th, 2026

COF scaffold membrane with gate‑lane nanostructure for efficient Li+/Mg2+ separation January 30th, 2026

Breathing new life into nanotubes for a cooler planet:Researchers at Skoltech discover a simple, single-step heat treatment that nearly doubles the CO2-trapping power of carbon nanotubes January 30th, 2026

New light-based nanotechnology could enable more precise, less harmful cancer treatment: The approach offers a potential alternative to chemotherapy and radiation by using light and heat to target cancer cells. January 30th, 2026

MXene nanomaterials enter a new dimension Multilayer nanomaterial: MXene flakes created at Drexel University show new promise as 1D scrolls January 30th, 2026

Imaging

New light-based nanotechnology could enable more precise, less harmful cancer treatment: The approach offers a potential alternative to chemotherapy and radiation by using light and heat to target cancer cells. January 30th, 2026

ICFO researchers overcome long-standing bottleneck in single photon detection with twisted 2D materials August 8th, 2025

Nanomedicine

New molecular technology targets tumors and simultaneously silences two ‘undruggable’ cancer genes August 8th, 2025

New imaging approach transforms study of bacterial biofilms August 8th, 2025

Cambridge chemists discover simple way to build bigger molecules – one carbon at a time June 6th, 2025

Electrifying results shed light on graphene foam as a potential material for lab grown cartilage June 6th, 2025

Discoveries

From sensors to smart systems: the rise of AI-driven photonic noses January 30th, 2026

Decoding hydrogen‑bond network of electrolyte for cryogenic durable aqueous zinc‑ion batteries January 30th, 2026

COF scaffold membrane with gate‑lane nanostructure for efficient Li+/Mg2+ separation January 30th, 2026

Breathing new life into nanotubes for a cooler planet:Researchers at Skoltech discover a simple, single-step heat treatment that nearly doubles the CO2-trapping power of carbon nanotubes January 30th, 2026

Announcements

Decoding hydrogen‑bond network of electrolyte for cryogenic durable aqueous zinc‑ion batteries January 30th, 2026

COF scaffold membrane with gate‑lane nanostructure for efficient Li+/Mg2+ separation January 30th, 2026

Breathing new life into nanotubes for a cooler planet:Researchers at Skoltech discover a simple, single-step heat treatment that nearly doubles the CO2-trapping power of carbon nanotubes January 30th, 2026

New light-based nanotechnology could enable more precise, less harmful cancer treatment: The approach offers a potential alternative to chemotherapy and radiation by using light and heat to target cancer cells. January 30th, 2026

Interviews/Book Reviews/Essays/Reports/Podcasts/Journals/White papers/Posters

Metasurfaces smooth light to boost magnetic sensing precision January 30th, 2026

COF scaffold membrane with gate‑lane nanostructure for efficient Li+/Mg2+ separation January 30th, 2026

Breathing new life into nanotubes for a cooler planet:Researchers at Skoltech discover a simple, single-step heat treatment that nearly doubles the CO2-trapping power of carbon nanotubes January 30th, 2026

New light-based nanotechnology could enable more precise, less harmful cancer treatment: The approach offers a potential alternative to chemotherapy and radiation by using light and heat to target cancer cells. January 30th, 2026

Tools

Metasurfaces smooth light to boost magnetic sensing precision January 30th, 2026

From sensors to smart systems: the rise of AI-driven photonic noses January 30th, 2026

Gap-controlled infrared absorption spectroscopy for analysis of molecular interfaces: Low-cost spectroscopic approach precisely analyzes interfacial molecular behavior using ATR-IR and advanced data analysis October 3rd, 2025

Japan launches fully domestically produced quantum computer: Expo visitors to experience quantum computing firsthand August 8th, 2025

Nanobiotechnology

New molecular technology targets tumors and simultaneously silences two ‘undruggable’ cancer genes August 8th, 2025

New imaging approach transforms study of bacterial biofilms August 8th, 2025

Ben-Gurion University of the Negev researchers several steps closer to harnessing patient's own T-cells to fight off cancer June 6th, 2025

Electrifying results shed light on graphene foam as a potential material for lab grown cartilage June 6th, 2025

NanoNews-Digest
The latest news from around the world, FREE




  Premium Products
NanoNews-Custom
Only the news you want to read!
 Learn More
NanoStrategies
Full-service, expert consulting
 Learn More











ASP
Nanotechnology Now Featured Books




NNN

The Hunger Project