Nanotechnology Now

Our NanoNews Digest Sponsors
Heifer International



Home > Press > Scientists use nanoparticles to control growth of materials: UCLA-led team creates 'diet control' technique that could have broad applications in manufacturing and medicine

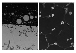
UCLA/Nature CommunicationsAn aluminum-bismuth alloy without the introduction of nanoparticles (left, at 500 microns), and after nanoparticles were introduced before the alloy is cooled (right, at 50 microns).
UCLA/Nature Communications

An aluminum-bismuth alloy without the introduction of nanoparticles (left, at 500 microns), and after nanoparticles were introduced before the alloy is cooled (right, at 50 microns).

Abstract:
Growth is a ubiquitous phenomenon in plants and animals.

But it also occurs naturally in chemicals, metals and other inorganic materials. That fact has, for decades, posed a major challenge for scientists and engineers, because controlling the growth within materials is critical for creating products with uniform physical properties so that they can be used as components of machinery and electronic devices. The challenge has been particularly vexing when the materials' molecular building blocks grow rapidly or are processed under harsh conditions such as high temperatures.

Scientists use nanoparticles to control growth of materials: UCLA-led team creates 'diet control' technique that could have broad applications in manufacturing and medicine

Los Angeles, CA | Posted on May 19th, 2014

Now, a team led by researchers from the UCLA Henry Samueli School of Engineering and Applied Science has developed a new process to control molecular growth within the "building block" components of inorganic materials. The method, which uses nanoparticles to organize the components during a critical phase of the manufacturing process, could lead to innovative new materials, such as self-lubricating bearings for engines, and it could make it feasible for them to be mass-produced.

The study was published May 9 in the journal Nature Communications.

Xiaochun Li, UCLA's Raytheon Chair in Manufacturing Engineering and the principal investigator on the research, compared the new process to creating the best conditions for plants to grow in a garden.

"In nature, some seeds sprout earlier than others and the plants grow larger, preventing nearby sprouts from growing by blocking their access to nutrients or sunshine," said Li, who also is a professor of mechanical and aerospace engineering. "But if the earlier plants are on a controlled diet that limits their growth, the other plants will have a better chance to be healthy — maximizing the yield in the garden.

"We are doing this on a nanoscale, controlling growth at the atomic level by physically blocking agents of growth to obtain high-performance materials with uniformity and other desired properties. It is like an atomic diet control for material synthesis."

The method uses self-assembling nanoparticles that rapidly and effectively control the materials' building blocks as they form during the cooling — or growth — stage of the manufacturing process. The nanoparticles are made of thermodynamically stable materials (such as ceramic titanium carbonitride) and are added and dispersed using an ultrasonic dispersion method. The nanoparticles spontaneously assemble as a thin coating, significantly blocking diffusion of the materials.

The technique is effective for both inorganic and organic materials.

In their study, researchers demonstrated the method could be used for aluminum-bismuth alloys. Normally, aluminum and bismuth — like oil and water — cannot be completely mixed. Although they can be temporarily combined under high heat, the elements separate when the mixture is cooled, resulting in an alloy with uneven properties. But, using the nanoparticle-controlled process, the UCLA-led team created a uniform and high-performing aluminum-bismuth alloy.

"We are controlling the nucleation and growth during the solidification process in order to obtain uniform and fine-size microstructures," said Lianyi Chen, the lead author of the study and a postdoctoral scholar in mechanical and aerospace engineering. "With incorporation of nanoparticles, the aluminum-bismuth alloy exhibits 10 times better performance in terms of reducing friction, which can be used to make engines with significantly improved energy efficiency."

Li said the new approach will prove useful in a broad array of applications, possibly including efforts to limit the growth of cancer cells.

Other contributors to the research include Jiaquan Xu, a UCLA engineering graduate student; Hongseok Choi and Hiromi Konishi, former postdoctoral scholars advised by Li while he was on the faculty of the University of Wisconsin - Madison; and Song Jin, a professor of chemistry at Wisconsin.

The research was funded by the National Institute of Standards and Technology.

####

For more information, please click here

Contacts:
Bill Kisliuk

310-206-0540

Copyright © UCLA

If you have a comment, please Contact us.

Issuers of news releases, not 7th Wave, Inc. or Nanotechnology Now, are solely responsible for the accuracy of the content.

Bookmark:
Delicious Digg Newsvine Google Yahoo Reddit Magnoliacom Furl Facebook

Related Links

Download article:

Related News Press

News and information

Decoding hydrogen‑bond network of electrolyte for cryogenic durable aqueous zinc‑ion batteries January 30th, 2026

COF scaffold membrane with gate‑lane nanostructure for efficient Li+/Mg2+ separation January 30th, 2026

Breathing new life into nanotubes for a cooler planet:Researchers at Skoltech discover a simple, single-step heat treatment that nearly doubles the CO2-trapping power of carbon nanotubes January 30th, 2026

New light-based nanotechnology could enable more precise, less harmful cancer treatment: The approach offers a potential alternative to chemotherapy and radiation by using light and heat to target cancer cells. January 30th, 2026

Govt.-Legislation/Regulation/Funding/Policy

Metasurfaces smooth light to boost magnetic sensing precision January 30th, 2026

New imaging approach transforms study of bacterial biofilms August 8th, 2025

INRS and ELI deepen strategic partnership to train the next generation in laser science:PhD students will benefit from international mobility and privileged access to cutting-edge infrastructure June 6th, 2025

Electrifying results shed light on graphene foam as a potential material for lab grown cartilage June 6th, 2025

Nanomedicine

New molecular technology targets tumors and simultaneously silences two ‘undruggable’ cancer genes August 8th, 2025

New imaging approach transforms study of bacterial biofilms August 8th, 2025

Cambridge chemists discover simple way to build bigger molecules – one carbon at a time June 6th, 2025

Electrifying results shed light on graphene foam as a potential material for lab grown cartilage June 6th, 2025

Discoveries

From sensors to smart systems: the rise of AI-driven photonic noses January 30th, 2026

Decoding hydrogen‑bond network of electrolyte for cryogenic durable aqueous zinc‑ion batteries January 30th, 2026

COF scaffold membrane with gate‑lane nanostructure for efficient Li+/Mg2+ separation January 30th, 2026

Breathing new life into nanotubes for a cooler planet:Researchers at Skoltech discover a simple, single-step heat treatment that nearly doubles the CO2-trapping power of carbon nanotubes January 30th, 2026

Materials/Metamaterials/Magnetoresistance

First real-time observation of two-dimensional melting process: Researchers at Mainz University unveil new insights into magnetic vortex structures August 8th, 2025

Researchers unveil a groundbreaking clay-based solution to capture carbon dioxide and combat climate change June 6th, 2025

A 1960s idea inspires NBI researchers to study hitherto inaccessible quantum states June 6th, 2025

Institute for Nanoscience hosts annual proposal planning meeting May 16th, 2025

Announcements

Decoding hydrogen‑bond network of electrolyte for cryogenic durable aqueous zinc‑ion batteries January 30th, 2026

COF scaffold membrane with gate‑lane nanostructure for efficient Li+/Mg2+ separation January 30th, 2026

Breathing new life into nanotubes for a cooler planet:Researchers at Skoltech discover a simple, single-step heat treatment that nearly doubles the CO2-trapping power of carbon nanotubes January 30th, 2026

New light-based nanotechnology could enable more precise, less harmful cancer treatment: The approach offers a potential alternative to chemotherapy and radiation by using light and heat to target cancer cells. January 30th, 2026

Interviews/Book Reviews/Essays/Reports/Podcasts/Journals/White papers/Posters

Metasurfaces smooth light to boost magnetic sensing precision January 30th, 2026

COF scaffold membrane with gate‑lane nanostructure for efficient Li+/Mg2+ separation January 30th, 2026

Breathing new life into nanotubes for a cooler planet:Researchers at Skoltech discover a simple, single-step heat treatment that nearly doubles the CO2-trapping power of carbon nanotubes January 30th, 2026

New light-based nanotechnology could enable more precise, less harmful cancer treatment: The approach offers a potential alternative to chemotherapy and radiation by using light and heat to target cancer cells. January 30th, 2026

NanoNews-Digest
The latest news from around the world, FREE




  Premium Products
NanoNews-Custom
Only the news you want to read!
 Learn More
NanoStrategies
Full-service, expert consulting
 Learn More











ASP
Nanotechnology Now Featured Books




NNN

The Hunger Project