Nanotechnology Now

Our NanoNews Digest Sponsors
Heifer International



Home > Press > New approach to mammograms could improve reliability

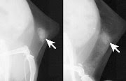
A new mammography technique detects microcalcifications in both normal mice (left) and those with dense mammary tissue (right). 
Credit: American Chemical Society
A new mammography technique detects microcalcifications in both normal mice (left) and those with dense mammary tissue (right).

Credit: American Chemical Society

Abstract:
Detecting breast cancer in women with dense mammary tissues could become more reliable with a new mammogram procedure that researchers have now tested in pre-clinical studies of mice. In their report in the journal ACS Nano, they describe injecting gold nanoparticles in mammary tissue to enhance the imaging of early signs of breast cancer.

New approach to mammograms could improve reliability

Washington, DC | Posted on September 16th, 2015

Mammography remains the clinical gold standard of screening tests for detecting breast cancer. However, a recognized limitation of this X-ray procedure is that dense breast tissue shows up as white masses and fibers on an image, which can obscure the presence of microcalcifications -- potential signs of early cancer development. Other imaging methods including ultrasound, magnetic resonance imaging and molecular breast imaging can also find abnormalities, but each has its own limitation, such as high cost or poor resolution. Lisa Cole, Tracy Vargo-Gogola and Ryan K. Roeder wanted to improve patients' options.

The researchers boosted the contrast of mammography X-rays by modifying gold nanoparticles with molecules that bind specifically to microcalcifications. They injected a low dose of these nanoparticles into the mammary glands of mice with dense tissue. The engineered particles made the microcalcifications brighter on the X-rays -- and therefore, easier to distinguish. The mice showed no obvious side effects. Although further research would be required, the scientists say the technique could eventually translate into more reliable breast cancer detection for women with dense mammary tissue.

###

The authors acknowledge funding from the St. Joseph Regional Medical Center, the Walther Cancer Foundation and the National Science Foundation.

####

About American Chemical Society
The American Chemical Society is a nonprofit organization chartered by the U.S. Congress. With more than 158,000 members, ACS is the world's largest scientific society and a global leader in providing access to chemistry-related research through its multiple databases, peer-reviewed journals and scientific conferences. Its main offices are in Washington, D.C., and Columbus, Ohio.

For more information, please click here

Contacts:
Michael Bernstein

202-872-6042

Ryan K. Roeder, Ph.D.
Department of Aerospace and Mechanical Engineering
University of Notre Dame
Notre Dame, IN 46556
Phone: 574-631-7003

Copyright © American Chemical Society

If you have a comment, please Contact us.

Issuers of news releases, not 7th Wave, Inc. or Nanotechnology Now, are solely responsible for the accuracy of the content.

Bookmark:
Delicious Digg Newsvine Google Yahoo Reddit Magnoliacom Furl Facebook

Related Links

DOWNLOAD FULL-TEXT ARTICLE - "Contrast-Enhanced X-Ray Detection of Microcalcifications in Radiographically Dense Mammary Tissue Using Targeted Gold Nanoparticles"

Related News Press

News and information

Decoding hydrogen‑bond network of electrolyte for cryogenic durable aqueous zinc‑ion batteries January 30th, 2026

COF scaffold membrane with gate‑lane nanostructure for efficient Li+/Mg2+ separation January 30th, 2026

Breathing new life into nanotubes for a cooler planet:Researchers at Skoltech discover a simple, single-step heat treatment that nearly doubles the CO2-trapping power of carbon nanotubes January 30th, 2026

New light-based nanotechnology could enable more precise, less harmful cancer treatment: The approach offers a potential alternative to chemotherapy and radiation by using light and heat to target cancer cells. January 30th, 2026

MXene nanomaterials enter a new dimension Multilayer nanomaterial: MXene flakes created at Drexel University show new promise as 1D scrolls January 30th, 2026

Imaging

New light-based nanotechnology could enable more precise, less harmful cancer treatment: The approach offers a potential alternative to chemotherapy and radiation by using light and heat to target cancer cells. January 30th, 2026

ICFO researchers overcome long-standing bottleneck in single photon detection with twisted 2D materials August 8th, 2025

Cancer

New light-based nanotechnology could enable more precise, less harmful cancer treatment: The approach offers a potential alternative to chemotherapy and radiation by using light and heat to target cancer cells. January 30th, 2026

New molecular technology targets tumors and simultaneously silences two ‘undruggable’ cancer genes August 8th, 2025

Govt.-Legislation/Regulation/Funding/Policy

Metasurfaces smooth light to boost magnetic sensing precision January 30th, 2026

New imaging approach transforms study of bacterial biofilms August 8th, 2025

INRS and ELI deepen strategic partnership to train the next generation in laser science:PhD students will benefit from international mobility and privileged access to cutting-edge infrastructure June 6th, 2025

Electrifying results shed light on graphene foam as a potential material for lab grown cartilage June 6th, 2025

Nanomedicine

New molecular technology targets tumors and simultaneously silences two ‘undruggable’ cancer genes August 8th, 2025

New imaging approach transforms study of bacterial biofilms August 8th, 2025

Cambridge chemists discover simple way to build bigger molecules – one carbon at a time June 6th, 2025

Electrifying results shed light on graphene foam as a potential material for lab grown cartilage June 6th, 2025

Discoveries

From sensors to smart systems: the rise of AI-driven photonic noses January 30th, 2026

Decoding hydrogen‑bond network of electrolyte for cryogenic durable aqueous zinc‑ion batteries January 30th, 2026

COF scaffold membrane with gate‑lane nanostructure for efficient Li+/Mg2+ separation January 30th, 2026

Breathing new life into nanotubes for a cooler planet:Researchers at Skoltech discover a simple, single-step heat treatment that nearly doubles the CO2-trapping power of carbon nanotubes January 30th, 2026

Announcements

Decoding hydrogen‑bond network of electrolyte for cryogenic durable aqueous zinc‑ion batteries January 30th, 2026

COF scaffold membrane with gate‑lane nanostructure for efficient Li+/Mg2+ separation January 30th, 2026

Breathing new life into nanotubes for a cooler planet:Researchers at Skoltech discover a simple, single-step heat treatment that nearly doubles the CO2-trapping power of carbon nanotubes January 30th, 2026

New light-based nanotechnology could enable more precise, less harmful cancer treatment: The approach offers a potential alternative to chemotherapy and radiation by using light and heat to target cancer cells. January 30th, 2026

Interviews/Book Reviews/Essays/Reports/Podcasts/Journals/White papers/Posters

Metasurfaces smooth light to boost magnetic sensing precision January 30th, 2026

COF scaffold membrane with gate‑lane nanostructure for efficient Li+/Mg2+ separation January 30th, 2026

Breathing new life into nanotubes for a cooler planet:Researchers at Skoltech discover a simple, single-step heat treatment that nearly doubles the CO2-trapping power of carbon nanotubes January 30th, 2026

New light-based nanotechnology could enable more precise, less harmful cancer treatment: The approach offers a potential alternative to chemotherapy and radiation by using light and heat to target cancer cells. January 30th, 2026

Tools

Metasurfaces smooth light to boost magnetic sensing precision January 30th, 2026

From sensors to smart systems: the rise of AI-driven photonic noses January 30th, 2026

Gap-controlled infrared absorption spectroscopy for analysis of molecular interfaces: Low-cost spectroscopic approach precisely analyzes interfacial molecular behavior using ATR-IR and advanced data analysis October 3rd, 2025

Japan launches fully domestically produced quantum computer: Expo visitors to experience quantum computing firsthand August 8th, 2025

Grants/Sponsored Research/Awards/Scholarships/Gifts/Contests/Honors/Records

Metasurfaces smooth light to boost magnetic sensing precision January 30th, 2026

Researchers tackle the memory bottleneck stalling quantum computing October 3rd, 2025

Researchers uncover strong light-matter interactions in quantum spin liquids: Groundbreaking experiment supported by Rice researcher reveals new insights into a mysterious phase of quantum matter December 13th, 2024

New discovery aims to improve the design of microelectronic devices September 13th, 2024

NanoNews-Digest
The latest news from around the world, FREE




  Premium Products
NanoNews-Custom
Only the news you want to read!
 Learn More
NanoStrategies
Full-service, expert consulting
 Learn More











ASP
Nanotechnology Now Featured Books




NNN

The Hunger Project